
Les protocoles modernes pour optimiser les résultats en décompression neurovertébrale
25 avril 2025
Les bénéfices psychologiques d’un programme efficace de décompression neurovertébrale
25 avril 2025EN BREF La sténose spinale sévère est une condition médicale caractérisée par le rétrécissement du canal rachidien, entraînant des symptômes douloureux et invalidants. Les protocoles personnalisés proposés ici sont une approche innovante pour traiter efficacement cette pathologie. À Québec, cette méthode est particulièrement vantée pour sa capacité à réduire la douleur et à améliorer la qualité de vie des patients. Ces traitements permettent d’augmenter la mobilité et de diminuer l’inflammation, tout en étant non invasifs et adaptés aux besoins spécifiques de chaque individu. |
Les protocoles personnalisés pour traiter la sténose spinale sévère se révèlent essentiels pour soulager les symptômes et améliorer la qualité de vie des patients. Chaque traitement est adapté en fonction du degré et des spécificités de l’atteinte, tenant compte des facteurs individuels tels que l’âge, la condition physique et la chronicité des douleurs. Les traitements peuvent inclure des thérapies manuelles, des exercices de renforcement et des techniques de décompression pour réduire l’irritation des nerfs. Le suivi régulier permet d’ajuster les interventions pour une efficacité accrue et un meilleur confort.

La sténose spinale sévère se manifeste souvent par des douleurs chroniques et une perte de mobilité. Pour traiter cette affection, il est essentiel de suivre des protocoles personnalisés adaptés aux besoins de chaque patient. Cet article explore les approches thérapeutiques, les méthodes préventives, et l’importance de l’accompagnement par des professionnels de santé qualifiés.
Compréhension de la sténose spinale sévère
La sténose spinale se défini par un rétrécissement du canal rachidien qui peut compromettre la moelle épinière. Ce problème peut résulter de diverses causes, notamment le vieillissement, des blessures, ou des maladies dégénératives. Il est crucial de comprendre l’origine du problème afin de choisir une approche thérapeutique efficace.
Évaluation initiale et diagnostic
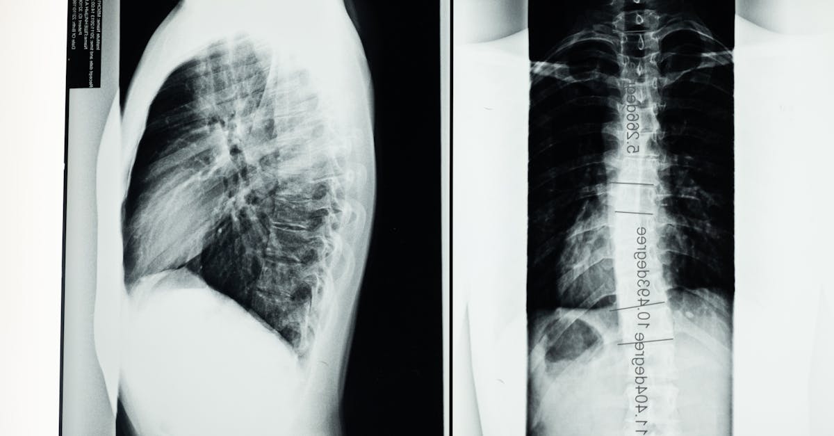
Avant d’entamer un traitement, une évaluation approfondie est nécessaire. Le professionnel de santé effectue généralement des examens physiques et peut recommander des examens complémentaires comme des radiographies. Cette étape permet d’identifier les niveaux de la colonne vertébrale touchés et d’élaborer un plan de traitement physique adapté.
Protocoles thérapeutiques personnalisés
Les traitements peuvent inclure différentes méthodes douces. La thérapie de décompression neurovertébrale est une option prometteuse pour réduire la pression sur la moelle épinière. Elle consiste en des manipulations légères qui visent à augmenter l’espace dans le canal rachidien sans causer de douleur. D’autres techniques peuvent intégrer des approches chiropratiques spécifiques, augmentant ainsi la mobilité et réduisant l’inflammation.
Exercices et soutien ergonomique
Il est également important d’incorporer des conseils sur l’ergonomie au quotidien. Des ajustements dans les postures de travail peuvent réduire la pression sur la colonne vertébrale. Les praticiens conseillent parfois des mouvements simples à intégrer dans la routine quotidienne. Néanmoins, il est essentiel de discuter de ces aspects avec un professionnel de santé formé, pour éviter des aggravations de la condition.
Suivi et ajustements réguliers
Le suivi régulier est un élément clé du traitement. Les protocoles personnalisés doivent être ajustés en fonction des progrès et des besoins du patient. Des consultations régulières permettent d’évaluer l’efficacité des traitements et d’apporter les modifications nécessaires. Ce suivi assure que le patient bénéficie d’un accompagnement sur mesure, soutenant son rétablissement.
En somme, traiter la sténose spinale sévère nécessite une approche individualisée qui prend en compte chaque aspect de la santé du patient. Les professionnels de santé jouent un rôle crucial en guidant les individus vers des solutions adaptées et efficaces.
Avis de non-responsabilité médicale : Les informations et conseils fournis sur ce site ne remplacent pas l’avis, le diagnostic ou le traitement d’un professionnel de la santé. Veuillez noter que le Dr Sylvain Desforges ostéopathe n’est ni docteur en médecine ni médecin, et n’est pas spécialiste dans une spécialité médicale telle que définie par le Collège des médecins du Québec. La médecine manuelle, la médecine fonctionnelle et la médecine sportive telles que décrites sur ce site excluent tout traitement ou diagnostic médical fait par un médecin ou un médecin spécialiste. Consultez toujours votre médecin pour toute question médicale. Pour plus de détails, veuillez lire notre Avis Légal complet.
- Évaluation approfondie : Diagnostic précis des niveaux affectés.
- Technique Cox : Flexion-distraction segmentaire pour réduire la douleur.
- Manipulations vertébrales : Rétablir le mouvement normal entre les vertèbres.
- Exercices d’étirements : Renforcement musculaire et amélioration de la flexibilité.
- Ergonomie adaptative : Conseils pour prévenir les rechutes dans la vie quotidienne.
- Séances régulières : Suivi pour ajuster le traitement en fonction de l’évolution.
- Gestion de la douleur : Stratégies pour atténuer les symptômes au quotidien.
- Éducation du patient : Compréhension de la condition et implication dans le traitement.
- Collaboration interdisciplinaire : Consultation avec d’autres professionnels de santé, au besoin.
- Suivi professionnel : Contrôles réguliers pour évaluer l’évolution des symptômes.

Introduction aux protocoles personnalisés pour la sténose spinale sévère
La sténose spinale sévère est une condition douloureuse qui peut grandement impacter la qualité de vie des individus affectés. Les symptômes, tels que la douleur sévère, l’engourdissement et la faiblesse musculaire, nécessitent une approche thérapeutique adaptée et personnalisée. Cet article explore des protocoles efficaces pour traiter cette pathologie, basés sur une compréhension approfondie des mécanismes sous-jacents et des besoins individuels.
Évaluation initiale et diagnostic
Avant d’élaborer un protocole de traitement, une évaluation approfondie de l’état médical global et des spécificités de la sténose est essentielle. Un examen physique complet, accompagné d’imageries adaptées comme des radiographies, des IRM ou des CT scans, permettra de déterminer l’étendue et la localisation de la sténose ainsi que l’impact sur la moelle épinière et les nerfs environnants.
Il est également important de prendre en compte les antécédents médicaux, en particulier les traumatismes antérieurs, les maladies dégénératives, et tout autre facteur pouvant contribuer à l’aggravation des symptômes.
Protocoles de traitement médicaux et non médicaux
Options médicinales
Le traitement pharmacologique est souvent le premier recours. Les anti-inflammatoires non-stéroïdiens (AINS) peuvent aider à réduire l’inflammation et la douleur. Pour des douleurs plus intenses, des antalgiques ou des corticostéroïdes sous forme d’injections épidurales peuvent être envisagés. Cependant, cette approche doit être surveillée de près en raison des effets secondaires potentiels.
Techniques de décompression
Les techniques de décompression jouent un rôle clé dans le traitement des patients souffrant de sténose spinale sévère. Les méthodes telles que la méthode Cox utilisent des manœuvres de flexion-distraction pour soulager la pression sur les nerfs et la moelle épinière, favorisant ainsi une meilleure circulation sanguine et réduisant la douleur. Cette approche douce et peu invasive peut aider à accroître l’espace à l’intérieur du canal rachidien.
Kinésithérapie et exercices spécifiques
La kinésithérapie est souvent intégrée dans un plan de traitement global. Un ensemble personnalisé d’exercices de renforcement et d’étirement peut contribuer à améliorer la force musculaire et la flexibilité, réduisant ainsi la douleur. Les exercices de posture et de stabilisation sont particulièrement bénéfiques, permettant aux patients de maintenir une meilleure mécanique de la colonne vertébrale.
Approches complémentaires
En complément des traitements médicaux classiques, des approches alternatives telles que l’acupuncture et la méditation peuvent également être envisagées. Ces techniques visent à favoriser un état de relaxation et à réduire le stress, qui peuvent aggraver les symptômes de la sténose spinale. Le recours à des thérapies manuelles, comme l’ostéopathie, peut également être bénéfique.
Suivi et ajustements
Un suivi régulier est crucial pour évaluer l’efficacité de chaque protocole et faire les ajustements nécessaires. Chaque patient réagit différemment aux traitements, et une approche flexible permet de répondre aux besoins changeants. Les feedbacks du patient doivent être intégrés pour optimiser les résultats et assurer un équilibre adéquat entre soulagement des symptômes et maintien des capacités fonctionnelles.
En définitive, un traitement personnalisé de la sténose spinale sévère doit s’articuler autour d’une compréhension fine des besoins individuels, incorporant des approches variées pour maximiser le soulagement et améliorer la qualité de vie des patients.
Protocoles personnalisés pour traiter efficacement la sténose spinale sévère
| Protocoles de traitement | Description |
|---|---|
| Évaluation clinique | Examen approfondi des symptômes et de l’historique médical pour établir un diagnostic précis. |
| Imagerie médicale | Utilisation de radiographies, IRM ou TDM pour visualiser l’étendue de la sténose. |
| Thérapie manuelle | Manipulations douces pour améliorer la mobilité et réduire la douleur. |
| Technique Cox | Flexion-distraction segmentaire pour diminuer l’inflammation et augmenter le calibre du canal. |
| Exercices personnalisés | Programmes d’étirement et de renforcement adaptés aux besoins individuels. |
| Gestion de la douleur | Utilisation d’anti-inflammatoires ou techniques non médicamenteuses pour soulager la douleur. |
| Suivi régulier | Contrôle des progrès et ajustement des traitements en fonction de l’évolution des symptômes. |
| Éducation du patient | Formation sur la condition et les adaptations nécessaires pour améliorer la qualité de vie. |

Témoignages sur les protocoles personnalisés pour traiter efficacement la sténose spinale sévère
Après des mois de douleur persistante dans le bas du dos et des jambes, j’ai consulté un spécialiste qui m’a orienté vers des protocoles personnalisés pour traiter ma sténose spinale sévère. Au début, j’étais sceptique, mais dès les premières séances de traitement, j’ai ressenti une réduction significative de la douleur. Les exercices spécifiques adaptés à mon état ont non seulement amélioré ma mobilité, mais aussi ma qualité de vie. Je me sens désormais capable de reprendre mes activités quotidiennes sans crainte.
En tant qu’athlète amateur confronté à la sténose spinale, j’ai été dévasté par l’impact que cela avait sur ma performance. Grâce à un plan de traitement individualisé, j’ai pu travailler sur mes zones de faiblesse et renforcer mon dos tout en améliorant ma posture. Les résultats ont été impressionnants et je retrouve maintenant du plaisir à m’entraîner sans que la douleur ne soit un frein.
Étant sujette à des douleurs chroniques dues à la sténose spinale, je cherchais désespérément une solution. J’ai été introduite aux protocoles personnalisés qui m’ont permis d’être suivie de près par des professionnels. Ils ont pris en compte l’histoire médicale complète et ont adapté les traitements à mes besoins spécifiques. La combinaison de thérapies manuelles et d’exercices ciblés a vraiment fait la différence sur ma condition.
Ma mère souffrait de sténose spinale depuis plusieurs années, avec des symptômes qui la rendaient assez dépendante. Avec l’introduction d’un protocole de traitement sur-mesure, elle a commencé à voir des résultats dès la première semaine ! Son niveau de douleur a diminué, lui permettant de faire des promenades et de passer plus de temps avec la famille. Son énergie et sa joie de vivre sont revenues, et cela a été un véritable cadeau pour nous tous.
Ayant toujours cru que la chirurgie était la seule option pour ma sténose spinale sévère, je suis qu’en je me suis rendu compte que d’autres solutions étaient disponibles. Grâce à un suivi personnalisé, j’ai appris à gérer ma condition par des méthodes douces. Le fait de travailler avec un thérapeute qui comprenait mes craintes et mes besoins a changé ma perspective sur le traitement et m’a aidé à reprendre le contrôle de ma santé.
La sténose spinale sévère est une condition qui nécessite une attention réelle et une approche thérapeutique adaptée. Les patients atteints de cette affection souffrent souvent de douleurs chroniques et d’une qualité de vie dégradée. Avec l’essor des traitements modernes, il est possible d’articuler des protocoles personnalisés qui répondent aux besoins spécifiques de chaque individu. Ces interventions visent à réduire l’inconfort tout en améliorant la fonction générale de la colonne vertébrale.
Au cœur de cette approche, le Dr Sylvain Desforges, homme de référence dans le domaine de la santé, se démarque par sa formation en ostéopathie, naturopathie, et médecine manuelle. En tant que président fondateur des cliniques TAGMED et de l’association ACMA, il s’est engagé à procurer des soins axés sur l’innovation et la recherche scientifique. Sa carrière est un témoignage d’un dévouement sans faille pour la gestion de la douleur chronique, un domaine où il se spécialise particulièrement.
Pour traiter la sténose spinale sévère, Dr Desforges met en œuvre des techniques modernes telles que la décompression vertébrale, la thérapie au laser, et l’utilisation d’ondes de choc. Chacune de ces méthodes est choisie en fonction des besoins nuancés de ses patients, permettant ainsi un traitement sur mesure. La décompression vertébrale, par exemple, a prouvé son efficacité pour diminuer la pression sur la moelle épinière et les nerfs environnants, réduisant ainsi la douleur et l’inconfort. C’est une méthode peu invasive qui offre des résultats souvent rapides et durables.
L’adoption des technologies avancées dans le traitement de la sténose spinale est essentielle pour améliorer les résultats cliniques. La thérapie au laser, en particulier, permet de cibler l’inflammation à l’intérieur des tissus affectés, alors que l’onde de choc stimule le processus de guérison naturelle du corps en favorisant la circulation sanguine. Ces techniques, combinées à une approche holistique via la naturopathie, garantissent une prise en charge globale de la condition. Dr Desforges se concentre non seulement sur les symptômes, mais également sur les causes profondes de la douleur.
Par ailleurs, un élément fondamental de cette stratégie demeure le suivi personnalisé des patients. Chaque individu est unique, et ses besoins varient en fonction de sa situation personnelle, de la sévérité de sa sténose, et de sa santé en général. Cela implique des consultations régulières pour ajuster le traitement en fonction des progrès observés. Les protocoles peuvent inclure des exercices de renforcement musculaire et des recommandations ergonimiques afin de prévenir les rechutes.
Finalement, la mission du Dr Desforges est claire : offrir des soins fondés sur des données probantes qui optimisent la santé et le bien-être de ses patients. Le succès de cette approche personnalisée réside dans l’engagement à fournir une attention soutenue et des techniques modernes, tout en respectant les normes les plus élevées en matière de soins de santé. Les patients se voient ainsi offrir une chance de retrouver non seulement une amélioration de leurs symptômes, mais aussi un chemin vers une meilleure qualité de vie.
La technologie de neuromodulation de Pulse Align pour le traitement de la sténose spinale sévère
Mécanisme d’action
La technologie de Pulse Align repose sur des vibrations d’impulsion douces qui agissent directement sur les mécanorécepteurs de type 2 présents dans les tissus musculaires. Ces récepteurs sont essentiels pour réguler le tonus musculaire et le mouvement, permettant ainsi à l’organisme de retrouver rapidement un équilibre naturel. En stimulant ces récepteurs, Pulse Align favorise le retour à un état normal de contraction et de relâchement des muscles, ce qui est particulièrement bénéfique pour les personnes souffrant de sténose spinale. Ce mécanisme d’action contribue non seulement à réduire la tension dans les muscles, mais aussi à améliorer la circulation sanguine dans les zones affectées.
Avantages spécifiques
Adopter l’approche non invasive de Pulse Align présente plusieurs avantages pour les personnes souffrant de douleurs liées à la sténose spinale sévère. Premièrement, cette technologie peut significativement réduire la douleur en agissant sur les zones touchées, offrant ainsi un soulagement à long terme sans recourir à des traitements médicamenteux. De plus, la stimulation musculaire favorisée par le traitement aide à améliorer la fonction musculaire et la mobilité, permettant aux patients de retrouver progressivement leurs activités quotidiennes sans limitations. Enfin, la technique d’impulsion favorise une récupération accélérée, ce qui est crucial pour les personnes dont les symptômes de sténose spinale sévère peuvent entraîner un arrêt dans leur vie active et sociale.
Comparaison avec d’autres traitements
Comparée à d’autres traitements conventionnels, tels que les anti-inflammatoires ou les procédures invasives, la technologie Pulse Align se distingue par son absence de médicaments et de risques associés à la chirurgie. Alors que certains traitements peuvent n’apporter qu’un soulagement temporaire ou être accompagnés d’effets secondaires néfastes, Pulse Align offre une approche à la fois sûre et efficace pour traiter les symptômes. Son caractère non invasif et sa capacité à cibler le muscle et les mécanorécepteurs permettent d’éviter les complications potentielles d’autres méthodes de traitement. En outre, les patients rapportent souvent une sensation de bien-être après chaque séance, renforçant encore son attrait par rapport aux thérapies classiques.
Études de cas ou témoignages
Plusieurs témoignages de patients ayant utilisé Pulse Align pour traiter leurs douleurs dues à la sténose spinale sévère ont mis en avant des résultats positifs. Par exemple, un patient souffrant de douleurs chroniques dans le bas du dos a signalé une amélioration de sa mobilité après quelques séances avec Pulse Align. D’autres patients ont mentionné une réduction de l’inconfort et une amélioration de leur qualité de vie. Ces résultats témoignent de l’efficacité de cette technologie innovante et non invasive, affirmant que son utilisation dans le cadre de protocoles personnalisés peut jouer un rôle significatif dans la gestion des douleurs liées à la sténose spinale sévère.
La sténose spinale sévère représente un défi majeur en matière de santé, provoquant une gamme de symptômes qui peuvent gravement affecter la qualité de vie. En analysant cette condition, nous avons découvert des protocoles personnalisés qui visent à offrir un soulagement efficace et adapté aux besoins spécifiques de chaque patient. Ces protocoles, basés sur des méthodes de décompression, d’étirements et de renforcement musculaire, permettent non seulement de réduire la douleur, mais aussi d’améliorer la fonctionnalité et de favoriser un retour à des activités normales.
Le traitement de la sténose spinale est essentiel pour prévenir des complications futures. En intégrant des techniques comme la méthode Cox de flexion-distraction à des exercices personnalisés, les patients peuvent bénéficier d’une approche holistique. Cette méthode, réputée pour sa douceur et peu invasive, aide à diminuer l’irritation de la moelle épinière et améliore l’espace dans le canal rachidien, ce qui est crucial pour alléger la pression sur les nerfs.
La personnalisation des protocoles de traitement est également primordiale. Chaque individu présente des caractéristiques anatomiques et des histoires médicales uniques, qui influencent la manière dont la sténose spinale se manifeste. Les chiropracteurs, les physiothérapeutes et les autres professionnels de santé doivent donc évaluer soigneusement chaque cas. Cela permettra de déterminer les niveaux spécifiques affectés et d’adapter le traitement en conséquence. Ainsi, un plan de traitement basé sur des données concrètes et des évaluations précises est fondamental.
En plus des traitements manuels, des exercices spécifiques visant à renforcer les muscles du dos et à améliorer la flexibilité peuvent être intégrés. Cela aide non seulement à stabiliser la colonne vertébrale, mais également à prévenir les rechutes. Les recommandations ergonomiques constituent aussi un élément essentiel de ce protocole personnalisé, permettant aux patients de mieux gérer leurs activités quotidiennes sans aggraver leur condition.
Le suivi régulier est un autre aspect crucial dans la gestion de la sténose spinale. Cela permet aux professionnels de la santé d’ajuster les traitements en fonction des progrès observés ou des nouvelles douleurs apportées par la progression de la condition. Chaque étape du traitement doit être soigneusement documentée afin d’assurer une continuité dans le soin et une réponse rapide face à l’évolution des symptômes.




