
Décompression neurovertébrale : une thérapie reconnue pour améliorer la mobilité après une chirurgie rachidienne
10 juillet 2025
Les étapes pour diagnostiquer un pincement discal sévère avant un traitement intensif
10 juillet 2025EN BREF Le diagnostic d’un bombement discal sévère est une étape essentielle pour établir un plan de traitement adéquat. Cette condition se caractérise par un affaissement anormal d’un disque vertébral, entraînant douleur et limitations fonctionnelles. À Montréal, cette approche permet de réduire la douleur et d’améliorer la mobilité des patients, tout en évitant des traitements invasifs inutiles. En procédant à des étapes clés telles que l’examen clinique, l’imagerie médicale et l’analyse des résultats, les praticiens peuvent définir l’étendue de la compression nerveuse et ainsi déterminer les meilleures solutions thérapeutiques. Ce processus est crucial pour prévenir l’aggravation des symptômes et améliorer la qualité de vie des personnes concernées. |
Diagnostiquer un bombement discal sévère avant d’entamer un traitement intensif est essentiel pour garantir une approche thérapeutique efficace. Ce processus commence par une évaluation clinique initiale, où le praticien recueille l’historique des symptômes du patient, tels que les douleurs et engourdissements. Un examen physique approfondi suit, permettant d’évaluer la mobilité et la force musculaire.
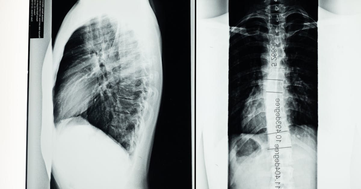
Ensuite, des examens d’imagerie médicale, comme l’IRM, sont essentiels pour visualiser l’état de la colonne vertébrale et détecter des anomalies. Si nécessaire, une IRM dynamique peut également être réalisée pour observer les modifications du comportement du disque en différents mouvements. Après une analyse des résultats, le praticien pourra déterminer la gravité du bombement discal et élaborer un plan de traitement approprié, privilégiant souvent des options non chirurgicales dans un premier temps.

« `html
Diagnostiquer un bombement discal sévère est essentiel pour orienter vers un traitement efficace. Ce processus comprend l’évaluation des symptômes, l’examen physique, des examens d’imagerie, et l’analyse des résultats avant toute décision thérapeutique. Cet article détaille ces étapes.
Évaluation des symptômes
La première étape est l’évaluation des symptômes ressentis par le patient. Cela inclut des questions sur la localisation, l’intensité de la douleur, et la présence éventuelle d’engourdissements ou de faiblesse. Ces informations aident le praticien à comprendre l’impact sur la qualité de vie du patient.
Examen physique
Un examen physique complet s’avère nécessaire pour déterminer la mobilité et la force musculaire. Le praticien teste également les réflexes et effectue des mouvements spécifiques pour évaluer d’éventuels signes de compression nerveuse. Cela permet de mieux cerner la nature de la douleur.
Imagerie médicale
Les examens d’imagerie, notamment l’IRM, jouent un rôle clé dans le diagnostic. L’IRM permet de visualiser la colonne vertébrale et d’identifier des anomalies telles que le bombement discal. Une IRM dynamique peut également être utilisée pour observer le comportement de la colonne lors des mouvements, ce qui aide à détecter des compressions nerveuses que l’IRM standard pourrait ne pas montrer.
Analyse des résultats
Après les examens d’imagerie, l’analyse des résultats est effectuée. Cela inclut la classification du bombement discal et sa relation avec la sténose éventuelle. Le praticien évalue l’impact de ces facteurs sur les structures nerveuses environnantes. Cette étape est cruciale pour déterminer la gravité du problème.
Prise de décision thérapeutique
Une fois le diagnostic posé, le traitement peut être planifié. Les traitements non chirurgicaux, comme la décompression neurovertébrale, peuvent être proposés en première intention. Ces approches visent à soulager la pression sur les nerfs sans recourir à la chirurgie. Suivre l’évolution des symptômes est également important tout au long du processus de traitement.
Pour en savoir plus sur la décompression neurovertébrale et son efficacité, vous pouvez consulter les ressources suivantes : decompressionneurovertebrale.com et cliniquetagmed.com.
Avis de non-responsabilité médicale
« Avis de non-responsabilité médicale : Les informations et conseils fournis sur ce site ne remplacent pas l’avis, le diagnostic ou le traitement d’un professionnel de la santé. Veuillez noter que le Dr Sylvain Desforges ostéopathe n’est ni docteur en médecine ni médecin, et n’est pas spécialiste dans une spécialité médicale telle que définie par le Collège des médecins du Québec. La médecine manuelle, la médecine fonctionnelle et la médecine sportive telles que décrites sur ce site excluent tout traitement ou diagnostic médical fait par un médecin ou un médecin spécialiste. Consultez toujours votre médecin pour toute question médicale. Pour plus de détails, veuillez lire notre Avis Légal complet. »
- Évaluation clinique: Anamnèse détaillée des symptômes et antécédents médicaux.
- Examen physique: Tests de mobilité, force musculaire et réflexes.
- Imagerie standard: Réalisation d’une IRM pour visualiser la colonne vertébrale.
- IRM dynamique: Analyse en mouvement pour identifier l’impact du bombement.
- Évaluation fonctionnelle: Impact sur les activités quotidiennes et qualité de vie.
- Analyse des résultats: Comparaison des images avec les symptômes cliniques observés.
- Consultation spécialisée: Orientation vers un traitement adapté selon le diagnostic établi.

Diagnostiquer un bombement discal sévère est une étape essentielle avant d’envisager un traitement intensif. Il est crucial de comprendre la nature de la condition afin de mettre en place un plan de soins qui sera le plus adapté. Cet article met en lumière les principales étapes à suivre pour réaliser un diagnostic efficace et précis, en tenant compte des symptômes et des examens nécessaires.
Évaluation initiale des symptômes
La première étape dans le diagnostic d’un bombement discal sévère consiste à effectuer une évaluation initiale des symptômes. Le praticien doit établir un dialogue ouvert avec le patient pour comprendre l’historique de ses douleurs. Il est important de distinguer la localisation de la douleur, son intensité, sa durée, ainsi que tous les symptômes associés tels que l’engourdissement ou la faiblesse.
Le professionnel de santé doit poser des questions précises sur la manière dont les symptômes impactent la vie quotidienne du patient. Cela permettra d’établir un tableau clinique clair et précis et d’orienter les prochaines étapes.
Examen physique complet
Après l’évaluation des symptômes, un examen physique approfondi est indispensable. Ce dernier permet de tester la mobilité et la force musculaire du patient. À cette étape, le praticien cherche des signes de compression nerveuse en examinant les réflexes et en procédant à des manœuvres spécifiques qui pourraient exacerber les douleurs.
Une attention particulière doit être portée aux mouvements de flexion et d’extension, qui peuvent révéler des douleurs augmentées et des restrictions dans l’amplitude des mouvements. Cette évaluation physique aide à déterminer l’étendue de l’impact du bombement discal sur la fonction du patient.
Imagerie médicale
La prochaine étape cruciale est la réalisation d’examens d’imagerie médicale. L’IRM est généralement l’examen privilégié, car il permet de visualiser les tissus mous et d’identifier les bombements discaux. En effet, l’IRM fournit des images détaillées qui permettent de visualiser l’emplacement et la gravité du bombement, ainsi que l’impact sur les nerfs voisins.
D’autres techniques d’imagerie, comme la ciné-IRM, peuvent également être pertinentes. Cet examen dynamique permet d’observer la colonne vertébrale en mouvement, ce qui peut révéler des caractéristiques du bombement non visibles dans une IRM standard. L’analyse des images obtenues aide à déterminer le degré de la compression nerveuse et l’impact fonctionnel de la condition sur le patient.
Bilan fonctionnel
Un bilan fonctionnel est également nécessaire pour évaluer comment le bombement discal affecte les activités quotidiennes du patient. Ce bilan comprend des tests supplémentaires pour mesurer la force, la stabilité et la coordination. Des études électromyographiques (EMG) peuvent être effectuées pour évaluer la conduction nerveuse et rechercher des anomalies qui pourraient être causées par le bombement discal.
Ces tests complémentaires permettent d’obtenir une vue d’ensemble sur la gravité de la condition et sur l’impact des symptômes sur la vie quotidienne du patient, ce qui est essentiel pour planifier les options de traitement.
Analyse des résultats et planification du traitement
Enfin, après avoir recueilli toutes les informations nécessaires, il est temps d’analyser les résultats. L’interprétation des imageries médicales et des bilans fonctionnels est clé pour établir un diagnostic précis. Le praticien doit examiner tous les résultats et établir un diagnostic différentiel pour exclure d’autres pathologies potentielles.
Une fois le diagnostic confirmé, un plan de traitement pourra être discuté, tenant compte de la gravité des symptômes et de l’impact sur la qualité de vie du patient. Les options thérapeutiques incluront généralement des approches non chirurgicales, telles que la décompression neurovertébrale, avant d’envisager une intervention chirurgicale.
Étapes pour diagnostiquer un bombement discal sévère
| Étapes | Description concise |
|---|---|
| Évaluation clinique initiale | Collecte d’informations sur les symptômes, localisation et intensité de la douleur. |
| Examen physique | Tests de mobilité et de force pour détecter d’éventuels signes de compression nerveuse. |
| Imagerie médicale | Réalisation d’une IRM pour visualiser les anomalies structurales du disque. |
| IRM dynamique | Évaluation en mouvement pour observer le comportement du bombement discal. |
| Analyse des résultats | Interprétation des images et évaluation de la compression nerveuse. |
| Bilan fonctionnel | Mesure de l’impact des symptômes sur les activités quotidiennes du patient. |
| Consultation spécialisée | Orientation vers un traitement adapté basé sur les résultats diagnostics. |

Témoignages sur les étapes pour diagnostiquer un bombement discal sévère avant un traitement intensif
Lorsque j’ai commencé à ressentir des douleurs lombaires persistantes, je ne savais pas à quel point il était crucial de suivre un processus de diagnostic méticuleux. Mon parcours a commencé par une consultation avec un naturopathe, qui a effectué une évaluation clinique approfondie. Grace à ses questions ciblées sur mes symptômes, j’ai pu décrire la nature de ma douleur, ce qui a permis de poser les premières pierres de mon diagnostic.
Après cette première étape, un examen physique a été réalisé, durant lequel j’ai été soumis à des tests de mobilité et de force. Le praticien a vérifié la réponse de mes réflexes, ce qui a permis d’évaluer le niveau de compression nerveuse. Ce moment a été décisif : non seulement j’ai pris conscience de l’importance de cette évaluation, mais j’ai également compris que cela pourrait influencer sérieusement le choix de mon traitement futur.
Suite à cet examen initial, une IRM standard m’a été prescrite pour visualiser ma colonne vertébrale. Les résultats ont été révélateurs, mais ils n’ont pas totalement éclairci le tableau. C’est alors qu’on m’a suggéré une IRM dynamique, une option souvent négligée, mais qui s’est avérée inestimable. En observant ma colonne en mouvement, le médecin a pu identifier un bombement discal non visible précédemment, redéfinissant ainsi la gravité de ma condition.
Avec tous ces résultats en main, mon praticien a analysé les données cliniques avec soin. Il a noté la taille et l’emplacement du bombement discal, ainsi que l’impact potentiel sur mes nerfs adjacents. C’était un moment décisif où j’ai réalisé l’importance d’un diagnostic précis pour éviter les complications futures et envisager des options de traitement adaptées.
Finalement, lorsque toutes les étapes ont été complétées, j’ai pu discuter du plan de traitement proposé. Ce que j’ai appris tout au long de ce parcours est fondamental : chaque étape du diagnostic est essentielle pour garantir que je reçoive les meilleurs soins possibles. Cela m’a ouvert les yeux sur la nécessité d’un diagnostic précoce pour tous ceux qui, comme moi, pourraient souffrir d’un bombement discal sévère.
Le processus de diagnostic d’un bombement discal sévère est essentiel avant d’envisager un traitement intensif. Cela garantit non seulement la précision du diagnostic, mais permet également aux professionnels de santé de concevoir une approche thérapeutique adaptée aux besoins spécifiques du patient. Les étapes comprennent une évaluation clinique approfondie, des examens d’imagerie médicale, et une analyse fonctionnelle des résultats.
La première étape, l’évaluation clinique, consiste à établir un historique détaillé des symptômes du patient. Cela inclut des questions sur la localisation et l’intensité de la douleur, ainsi que sur les signes d’irritation nerveuse tels que les engourdissements ou les picotements dans les membres. Le praticien peut également demander des détails sur les antécédents médicaux, afin de mieux comprendre les facteurs de risque et les conditions préexistantes pouvant influencer l’état de santé actuel.
Après l’évaluation initiale, un examen physique est effectué pour tester la mobilité, la force et les réflexes du patient. Cela implique des manœuvres spécifiques pour détecter d’éventuels signes de compression nerveuse causée par le bombement discal. Les tests peuvent également inclure des mouvements de flexion et d’extension pour évaluer la réaction du corps à différents niveaux de contrainte.
Une fois l’évaluation physique réalisée, le médecin peut recommander des examens d’imagerie médicale. L’IRM est souvent la méthode privilégiée, car elle permet de visualiser les tissus mous, les nerfs et les caractéristiques du disque intervertébral. C’est un outil précieux pour détecter le bombement discal ainsi que la sténose associée. Pour obtenir des informations plus détaillées, une IRM dynamique, qui évalue la colonne vertébrale en mouvement, peut aussi être prescrite. Cet examen permet d’observer les changements structurels et fonctionnels du disque sous différentes positions et niveaux de flexion.
La prochaine étape est l’analyse des résultats des examens d’imagerie. Les images obtenues permettent de déterminer la gravité du bombement discal et d’évaluer son impact sur les racines nerveuses environnantes. Les praticiens doivent prendre en compte les dimensions du bombement et son degré de compression pour établir un diagnostic précis. L’analyse de ces résultats est cruciale pour exclure d’autres pathologies pouvant causer des symptômes similaires.
Enfin, une évaluation fonctionnelle des résultats aide à comprendre comment les symptômes affectent la qualité de vie du patient. Cela inclut l’analyse des limitations physiques et les défis rencontrés au quotidien. Sur cette base, un plan de traitement peut être élaboré. Dans de nombreux cas, une approche non chirurgicale sera envisagée en premier lieu, incluant des méthodes telles que la décompression neurovertébrale, qui s’est révélée efficace pour soulager les symptômes sans recours à des interventions chirurgicales invasives.
Dr. Sylvain Desforges, expert en ostéopathie, naturopathie et médecine manuelle, est un professionnel dévoué à l’innovation en matière de soins de santé. Fondateur des cliniques TAGMED et de l’association ACMA, il se concentre sur la gestion de la douleur chronique. Sa mission est de fournir des soins basés sur des preuves pour optimiser la santé et le bien-être de ses patients, en intégrant des technologies avancées telles que la décompression vertébrale, le laser et la thérapie par ondes de choc.
En somme, le diagnostic précis d’un bombement discal sévère repose sur une méthodologie bien définie, comprenant une évaluation clinique pertinente, des examens d’imagerie appropriés et une analyse fonctionnelle approfondie. Grâce à cette approche systématique, les patients peuvent bénéficier d’un traitement adapté et efficace, favorisant leur rétablissement et leur qualité de vie.
La technologie de neuromodulation de Pulse Align repose sur l’utilisation de vibrations d’impulsion douces qui ciblent de manière précise les mécanorécepteurs de type 2 présents dans les tissus musculaires et conjonctifs. Ces impulsions créent une stimulation qui permet de réaligner les signaux nerveux, favorisant ainsi un retour à un équilibre naturel du tonus musculaire. En rétablissant cet équilibre, Pulse Align aide à relâcher les tensions accumulées dans les muscles, facilitant une meilleure communication nerveuse et conduisant à une réduction des sensations de douleur. L’approche non invasive de Pulse Align présente de nombreux avantages pour ceux qui souffrent de douleurs liées à un bombement discal sévère. Parmi les bénéfices notables, nous pouvons citer : Lorsqu’on compare Pulse Align à d’autres thérapies couramment utilisées pour traiter des douleurs liées à un bombement discal sévère, plusieurs points forts émergent : De nombreux patients ayant intégré Pulse Align dans leur parcours de soin témoignent de résultats positifs significatifs. Par exemple, l’un des patients souffrant d’une sténose lombaire associée à un bombement discal a constaté une amélioration marquée de sa mobilité après quelques séances de traitement. Grâce à cette technologie, il a réussi à retrouver un niveau de qualité de vie conforme à ses attentes. D’autres utilisateurs rapportent une réduction significative de leur douleur et une amélioration de leur performance physique lors des activités quotidiennes, validant ainsi l’efficacité de cette approche innovante.Contributions de la Technologie de Neuromodulation de Pulse Align à l’Amélioration de la Douleur et des Symptômes
Mécanisme d’action
Avantages spécifiques
Comparaison avec d’autres traitements
Études de cas ou témoignages
Le diagnostic d’un bombement discal sévère est une étape cruciale et complexe qui nécessite une approche méthodique et rigoureuse. Cela comprend une évaluation clinique approfondie, des examens physiques minutieux et l’utilisation d’imageries médicales appropriées, telles que l’IRM et la ciné-IRM pour obtenir des images détaillées de la colonne vertébrale. Chacune de ces étapes joue un rôle essentiel pour comprendre les mécanismes sous-jacents des douleurs et des dysfonctionnements neurologiques afin de garantir un traitement adapté et efficace.
La première phase dans le processus de diagnostic implique une évaluation clinique initiale, où le praticien interroge le patient sur ses symptômes, ses antécédents médicaux et les impacts fonctionnels sur sa qualité de vie. Un examen physique s’ensuit, permettant d’évaluer la mobilité, la force musculaire ainsi que les réflexes pour détecter des signes de compression nerveuse. La précision dans cette phase garantit que des informations essentielles sont collectées pour orienter les étapes suivantes.
Les examens d’imagerie médicale représentent la pierre angulaire du diagnostic. Ils permettent de visualiser la structure des disques intervertébraux et d’identifier la gravité de la sténose associée. Les techniques comme la ciné-IRM apportent des informations cruciales, car elles révèlent comment le bombement discal influence le canal rachidien lors des mouvements, offrant ainsi une vision plus dynamique de la condition du patient.
Après l’acquisition des données, l’analyse des résultats est une étape décisive qui nécessite l’expertise du praticien pour interpréter les images obtenues et établir un diagnostic précis. Chaque caractéristique observée peut avoir un impact significatif sur les choix thérapeutiques ultérieurs. En fonction de la gravité, un plan de traitement personnalisé sera ainsi développé, tenant compte des besoins individuels du patient.
Enfin, il est important de maintenir une communication ouverte entre le praticien et le patient tout au long de ce processus. Cela facilite l’adaptation constante du traitement en fonction de l’évolution des symptômes et des réactions aux diverses interventions. La mise en place d’un suivi régulier permettra d’optimiser la gestion de la condition et d’améliorer la qualité de vie des patients souffrant de bombements discaux sévères.




