
Les étapes essentielles pour établir un diagnostic précis avant un traitement par décompression neurovertébrale
23 février 2025
Les ajustements post-traitement nécessaires pour prolonger les bénéfices d’un programme de décompression neurovertébrale
23 février 2025EN BREF Le diagnostic précis avant un traitement par décompression neurovertébrale est essentiel pour cibler les douleurs et optimiser l’efficacité du soin. Cette approche innovante permet d’évaluer les causes sous-jacentes des maux de dos grâce à un bilan clinique rigoureux. À Montréal, cette méthode est particulièrement recommandée pour les personnes souffrant de hernies discales ou de cruralgies. Les avantages de cette technique incluent une réduction de la douleur et une amélioration du bien-être, tout en offrant un processus non invasif et personnalisé. |
Pour établir un diagnostic précis avant un traitement par décompression neurovertébrale, plusieurs étapes essentielles sont à suivre. Tout d’abord, une anamnèse médicale complète est réalisée, incluant l’exploration des antécédents médicaux et des symptômes du patient. Cela permet de mieux comprendre la condition médicale et d’identifier les spécificités des douleurs ressenties. Ensuite, un examen physique approfondi est effectué pour évaluer l’état général du patient et les éventuelles anomalies. Des examens complémentaires, comme des imageries médicales, peuvent également être nécessaires pour affiner le diagnostic. Cette méthodologie rigoureuse est cruciale pour établir un plan de traitement adapté et efficace.

La décompression neurovertébrale est une approche thérapeutique reconnue pour traiter les douleurs liées à des problèmes vertébraux comme les hernies discales ou la sténose foraminale. Avant de commencer un traitement, il est important d’établir un diagnostic précis. Cet article décrit les étapes indispensables pour parvenir à un diagnostic fiable, ce qui conditionne la réussite du traitement.
Collecte des antécédents médicaux
La première étape consiste à recueillir une anamnèse détaillée. Cela inclut des informations sur les symptômes éprouvés, leur durée, leur intensité, ainsi que des antécédents médicaux. Cette phase permet d’identifier les troubles antérieurs et les traitements effectués. Un bilan complet garantit une évaluation initiale solide.
Examen physique
L’examen physique est crucial pour obtenir des données sur l’état général de santé du patient. Ce processus implique l’observation et l’évaluation des mouvements, de la posture et de la fonctionnalité des zones affectées. Les tests neurologiques peuvent également être réalisés pour évaluer les réflexes et la sensibilité.
Examens complémentaires
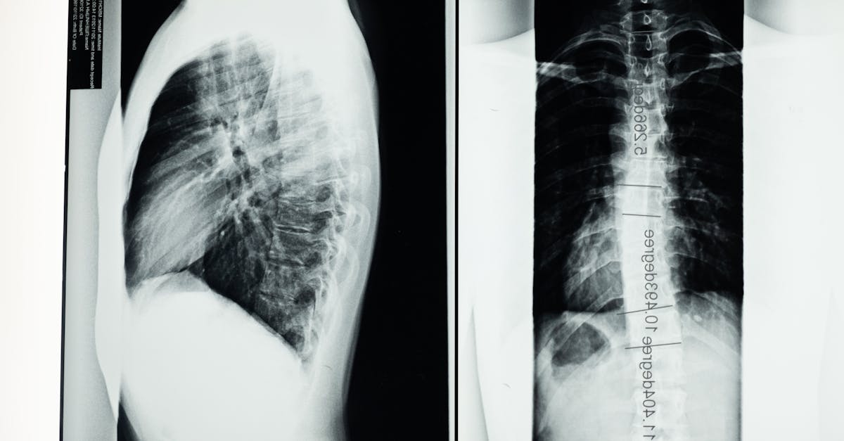
Des examens complémentaires, tels que des radiographies, IRM ou scanners, sont souvent requis. Ces outils d’imagerie permettent d’observer en profondeur les structures vertébrales et d’identifier les anomalies telles que les hernies discales ou les rétrécissements du canal rachidien. Les résultats aident à affiner le diagnostic.
Évaluation du traitement antérieur
Il est essentiel d’évaluer l’efficacité des traitements antérieurs. Analyser ce qui a fonctionné ou non guide la planification d’un nouveau traitement. Cette évaluation aide à comprendre les besoins uniques du patient et à adapter l’approche thérapeutique.
Collaboration interprofessionnelle
La collaboration avec d’autres professionnels de la santé, comme des kinésithérapeutes ou des médecins, peut être bénéfique. Partager les informations pertinentes facilite l’établissement d’un diagnostic global. Une approche interdisciplinaire optimise les soins et le suivi du patient.
Conclusion du diagnostic
Finalement, un diagnostic précis repose sur une synthèse des informations recueillies. Il est fondamental d’utiliser tous les éléments disponibles pour tirer des conclusions fiables. Cela garantit que le traitement par décompression neurovertébrale sera adapté aux besoins spécifiques du patient, augmentant les chances de succès.
Avis de non-responsabilité médicale : Les informations et conseils fournis sur ce site ne remplacent pas l’avis, le diagnostic ou le traitement d’un professionnel de la santé. Veuillez noter que le Dr Sylvain Desforges ostéopathe n’est ni docteur en médecine ni médecin, et n’est pas spécialiste dans une spécialité médicale telle que définie par le Collège des médecins du Québec. La médecine manuelle, la médecine fonctionnelle et la médecine sportive telles que décrites sur ce site excluent tout traitement ou diagnostic médical fait par un médecin ou un médecin spécialiste. Consultez toujours votre médecin pour toute question médicale. Pour plus de détails, veuillez lire notre Avis Légal complet.
- Collecte d’informations : Rassembler les antécédents médicaux et les symptômes du patient.
- Examen physique : Observer et évaluer l’état général du patient, y compris les constantes vitales.
- Tests d’imagerie : Réaliser des examens comme l’IRM ou le scanner pour visualiser les structures vertébrales.
- Évaluation des réflexes : Tester les réflexes pour déterminer l’éventuelle compression nerveuse.
- Identification des douleurs : Localiser et caractériser les douleurs afin de cibler le traitement.
- Diagnostic différentiel : Éliminer d’autres causes possibles de douleurs dorsales.
- Élaboration d’un plan de traitement : Définir les étapes et techniques appropriées pour la décompression neurovertébrale.

Établir un diagnostic précis est une étape cruciale avant de débuter un traitement par décompression neurovertébrale. Cette méthode, visant à soulager divers maux de dos et à améliorer le bien-être général, nécessite une évaluation approfondie pour identifier l’origine des douleurs. Ce processus implique plusieurs étapes clés, allant de l’anamnèse à l’examen physique, en passant par des examens complémentaires. Cet article détaille ces étapes essentielles pour garantir un traitement adapté et efficace.
Étape 1 : Anamnèse
L’anamnèse constitue une étape fondamentale dans l’établissement d’un diagnostic. Elle permet de recueillir des informations détaillées sur les antécédents médicaux du patient, ses symptômes actuels, ainsi que les facteurs aggravants ou soulageants. Un dialogue ouvert est essentiel pour permettre au praticien de saisir pleinement la situation du patient. Les questions posées doivent aborder non seulement les douleurs ressenties, mais également le mode de vie, les activités physiques, et les éventuels traumatismes subis antérieurement.
Étape 2 : Examen physique
Après l’anamnèse, un examen physique approfondi s’impose. Cette phase a pour but d’évaluer l’état général du patient. Le praticien observe la posture, évalue la mobilité et teste la force musculaire. Au cours de cet examen, la palpation des zones douloureuses peut également fournir des indices précieux quant à l’origine des douleurs. Cet examen permet d’identifier les zones de tension et de douleur, essentielles pour orienter le diagnostic.
Étape 3 : Examens complémentaires
Lorsqu’il est nécessaire, des examens complémentaires tels que des radiographies, des IRM ou des scanners peuvent être recommandés. Ces outils d’imagerie permettent d’obtenir une vision plus précise des structures vertébrales, d’évaluer l’état des disques intervertébraux et de détecter d’éventuelles anomalies comme des hernies discales ou des sténoses foraminales. Ces résultats serviront à confirmer le diagnostic initial et à élaborer un plan de traitement adapté.
Étape 4 : Synthèse et planification du traitement
Une fois toutes les données collectées, il est crucial d’effectuer une synthèse de l’information. Cette étape implique de croiser les résultats de l’anamnèse, de l’examen physique et des examens complémentaires pour établir un diagnostic précis. Sur cette base, un plan de traitement peut être élaboré, en tenant compte des besoins spécifiques du patient. Il est important que le patient soit informé et impliqué dans cette planification afin de favoriser son adhésion au traitement.
Étape 5 : Suivi et réévaluation
Enfin, le suivi du patient est une étape indispensable. La réévaluation régulière de l’état du patient permettra d’ajuster le traitement en fonction des améliorations ou des régressions observées. Des bilans cliniques fréquents permettent de s’assurer que la décompression neurovertébrale offre les résultats escomptés et d’identifier tout besoin d’adaptation du traitement.
Établir un diagnostic précis avant un traitement par décompression neurovertébrale requiert une approche méthodique et rigoureuse. Chacune des étapes, de l’anamnèse à la réévaluation, joue un rôle essentiel dans l’identification des causes des maux de dos et dans la mise en place d’un traitement efficace et personnalisé. Cela garantit non seulement une amélioration des symptômes mais également une optimisation du bien-être du patient.
Étapes pour un diagnostic précis avant décompression neurovertébrale
| Étapes | Description |
| Anamnèse médicale | Recueillir les antécédents médicaux et symptômes du patient. |
| Examen physique | Évaluer l’état général du patient et mesurer les constantes vitales. |
| Diagnostic par imagerie | Utiliser des radiographies, IRM ou scanners pour visualiser les problèmes vertébraux. |
| Analyse de la douleur | Identifier la localité, l’intensité et la nature de la douleur ressentie. |
| Distinguer les types de douleur | Différencier entre douleurs cervicales, dorsales et lombaires pour un diagnostic précis. |
| Évaluation neurologique | Tester la fonction des nerfs afin de déterminer les éventuelles compressions. |
| Planification du traitement | Établir un plan de traitement personnalisé basé sur les résultats diagnostiques. |

Témoignages sur l’établissement d’un diagnostic précis avant décompression neurovertébrale
Avant de commencer mon traitement de décompression neurovertébrale, il était crucial pour moi de passer par un processus détaillé afin d’établir un diagnostic précis. Lors de ma première consultation, le spécialiste a pris le temps de réaliser une anamnèse complète. Cela m’a permis de partager en profondeur mes antécédents médicaux et les spécificités de mes douleurs. J’ai vraiment apprécié cette attention portée à mon histoire personnelle.
Le jour de l’examen physique, j’ai été impressionné par la méthode d’évaluation. Le praticien a soigneusement observé mes constantes vitales et effectué des tests spécifiques pour détecter des anomalies. Cette démarche rigoureuse m’a donné confiance dans le traitement qui allait suivre. Je savais que j’étais entre de bonnes mains.
Pour moi, l’utilisation d’examens complémentaires était essentielle. En effet, le professionnel a recommandé des imageries médicales afin de mieux comprendre les origines de mes douleurs. Ces résultats ont non seulement guidé le diagnostic, mais ils ont également été déterminants pour installer un plan de traitement adapté. Grâce à cette approche, mon traitement a été parfaitement aligné sur mes besoins personnels.
Les étapes intégrées dans cette procédure m’ont aidé à saisir la complexité de ma condition. Chaque élément, de l’analyse des antécédents aux discussions sur les symptômes, a contribué à un diagnostic éclairé. Cela m’a rassuré, car il était évident que le praticien était engagé à me fournir les meilleures chances de guérison.
En résumé, les étapes essentielles pour établir un diagnostic précis avant le traitement par décompression neurovertébrale sont d’une importance capitale. Le suivi rigoureux et l’expertise du praticien, associés à une approche centrée sur le patient, sont des facteurs clés de succès dans le parcours de soins. Cela m’a permis non seulement de réduire mes douleurs, mais aussi de mieux comprendre les mécanismes de mon corps.
Établir un diagnostic précis est une étape cruciale avant de commencer tout traitement, y compris la décompression neurovertébrale. Ce processus diagnostique adopte une approche systématique qui combine plusieurs étapes essentielles, permettant d’identifier les causes sous-jacentes des douleurs et des dysfonctionnements vertébraux.
La première étape consiste à réaliser une anamnèse détaillée, qui implique une discussion approfondie avec le patient sur ses antécédents médicaux, ses symptômes et son mode de vie. Cette étape permet de recueillir des informations précieuses sur le début des symptômes, la nature de la douleur et tout facteur aggravant ou soulageant. C’est un moment clé où le praticien doit prêter attention aux informations fournies, car elles guideront toutes les étapes suivantes du diagnostic.
Ensuite, un examen physique minutieux est nécessaire. Ce bilan inclut l’évaluation des amplitudes de mouvement des articulations, des tests de force musculaire, ainsi que des analyses de la sensibilité cutanée et des réflexes. L’objectif de l’examen physique est d’observer la réponse du corps aux mouvements et aux pressions, détectant ainsi les points de douleur spécifiques et les signes de tension musculaire. Une attention particulière doit être accordée aux régions potentiellement affectées, comme la colonne vertébrale et les membres.
Pour compléter les premières étapes, des examens d’imagerie peuvent être requis. Ces examens, tels que la radiographie, l’IRM ou le scanner, permettent d’obtenir une visualisation interne des structures vertébrales et des tissus adjacents. Ils fournissent des indications essentielles sur la santé des disques intervertébraux, la présence de hernies discales, de protrusions ou d’autres anomalies qui peuvent contribuer aux douleurs ressenties par le patient.
Une fois toutes ces données collectées, le praticien peut établir un diagnostic précis. Ce diagnostic doit tenir compte de l’interaction entre les antécédents médicaux du patient, les résultats de l’examen physique et des examens d’imagerie. Il est essentiel de distinguer différents types de douleurs, comme par exemple les douleurs mécaniques, neuropathiques ou référées, afin d’appliquer un traitement adapté.
Après avoir établi un diagnostic, le praticien doit élaborer un plan de traitement personnalisé. La décompression neurovertébrale peut alors être intégrée dans une approche globale qui prend également en compte d’autres modalités thérapeutiques telles que la kinésithérapie, la gestion de la douleur, ou d’autres traitements manuels. L’adoption d’une approche multimodale est souvent bénéfique pour optimiser les résultats et améliorer la qualité de vie du patient.
Enfin, un suivi régulier est vital au cours du traitement pour ajuster le plan si nécessaire, évaluer l’évolution des symptômes et garantir un maximum d’efficacité des différentes interventions. La communication constante entre le praticien et le patient demeure essentielle pour s’assurer que chaque étape du diagnostic et du traitement est en phase avec les besoins et attentes du patient.
Mécanisme d’action
La technologie de neuromodulation Pulse Align utilise des vibrations d’impulsion douces pour stimuler les mécanorécepteurs de type 2 présents dans les tissus musculaires. Cette stimulation favorise le retour des muscles à leur état naturel d’équilibre et de tonus, permettant ainsi de réduire les tensions musculaires et les spasmes. En activant ces récepteurs, Pulse Align aide à rétablir la coordination musculaire et à améliorer la circulation sanguine, contribuant à un mieux-être général des patients souffrant de douleurs chroniques.
Avantages spécifiques
L’approche non invasive de Pulse Align offre plusieurs avantages significatifs. Tout d’abord, elle contribue à réduire la douleur de manière efficace, allant au-delà des simples analgésiques. En stimulant les mécanorécepteurs, elle améliore également la fonction musculaire et la mobilité, permettant aux patients de retrouver plus rapidement leurs capacités fonctionnelles. De plus, cette technologie actionne le processus de récupération, rendant plus rapide l’adaptation musculaire après des épisodes douloureux.
Comparaison avec d’autres traitements
En comparaison avec d’autres thérapies souvent utilisées pour le traitement des douleurs chroniques, Pulse Align se démarque par son efficacité sans nécessiter de médicaments et sans procédures invasives. Alors que les traitements tels que les anti-inflammatoires ou les injections peuvent présenter des effets secondaires ou des risques de complications, Pulse Align offre une alternative plus sûre et tout aussi efficace. Sa capacité à traiter les douleurs directement à la source, tout en respectant l’intégrité corporelle, constitue un atout majeur par rapport aux autres méthodes.
Études de cas ou témoignages
Divers témoignages de patients ayant utilisé Pulse Align attestent de l’efficacité de cette méthode. Par exemple, certains patients ont rapporté une réduction significative de leurs symptômes après seulement quelques séances, leur permettant de reprendre des activités quotidiennes qu’ils avaient abandonnées en raison de la douleur. Ces résultats positifs soulignent l’impact de la technologie sur la qualité de vie des personnes souffrant de douleurs chroniques.
Pour garantir l’efficacité d’un traitement par décompression neurovertébrale, il est fondamental de suivre un processus de diagnostic rigoureux. Ce processus aide à identifier la source des douleurs afin d’élaborer un plan de traitement personnalisé et adapté. En mettant l’accent sur les étapes essentielles pour établir un diagnostic précis, nous avons exposé l’importance d’une anamnèse détaillée, d’examens physiques approfondis ainsi que d’études d’imageries médicales ciblées.
La première étape dans cette démarche diagnostique consiste en l’anamnèse médicale, qui permet de recueillir des informations critiques sur l’historique médical du patient, ses symptômes, ainsi que son mode de vie. Cette phase est cruciale car elle fournit un cadre de référence pour comprendre la nature des douleurs ressenties, qu’il s’agisse de protrusions discales, de sténoses spinales ou d’autres pathologies.
Ensuite, l’examen physique s’avère être un élément central pour évaluer l’état général du patient. À ce stade, il est possible de détecter des anomalies potentiellement liés à des déséquilibres musculaires ou des compressions nerveuses. Des tests de mobilité et des évaluations neurologiques permettent de compléter cette évaluation, orientant ainsi la stratégie de traitement.
Enfin, il ne faut pas négliger l’importance des examens complémentaires, tels que les analyses d’imageries (IRM, scanner) qui offrent une vue détaillée des structures vertébrales. Ces outils de diagnostic permettent de visualiser les lésions et de confirmer ou d’infirmer les hypothèses posées lors des étapes précédentes.
En somme, chaque étape du diagnostic doit être rigoureuse et intégrée de manière harmonieuse, garantissant la mise en place d’un traitement adapté et efficace. La décompression neurovertébrale peut fournir des résultats significatifs pour ceux qui souffrent de divers maux de dos, mais elle repose sur une démarche diagnostique solide et informée.
