
Décompression neurovertébrale : une thérapie reconnue pour améliorer l’alignement vertébral
19 avril 2025
Les ajustements alimentaires pour soutenir les effets d’un traitement de décompression neurovertébrale
19 avril 2025EN BREF La décompression neurovertébrale est une technique thérapeutique innovante qui offre une alternative naturelle pour soulager les douleurs liées à la colonne vertébrale, telle que les hernies discales et les douleurs lombaires. Accessible à Montréal, cette méthode réduit la pression sur les disques intervertébraux, favorisant ainsi la circulation sanguine et la guérison sans intervention chirurgicale. Avec l’avantage d’être non invasive et généralement sans douleur, la décompression neurovertébrale améliore la mobilité des patients tout en leur permettant d’éviter les médicaments agressifs, contribuant ainsi à une meilleure qualité de vie. |
Décompression Neurovertébrale : Une Alternative Naturelle pour Éviter les Interventions Chirurgicales
La décompression neurovertébrale est une méthode thérapeutique non invasive qui offre une solution efficace pour soulager les douleurs chroniques de la colonne vertébrale, notamment les hernies discales et les douleurs lombaires. En créant un espace entre les vertèbres, cette technique réduit la pression sur les disques intervertébraux et les nerfs, favorisant ainsi la guérison et améliorant la circulation sanguine. Préférée par de nombreux patients souhaitant éviter les interventions chirurgicales et les médicaments à effets secondaires, la décompression neurovertébrale permet d’atteindre un soulagement durable, tout en améliorant la qualité de vie des individus.

« `html
La décompression neurovertébrale est une méthode non invasive qui offre une alternative naturelle aux traitements traditionnels pour les douleurs chroniques liées à la colonne vertébrale. Elle vise à soulager les maux de dos sans avoir recours à des médicaments ou à des interventions chirurgicales. Cette approche thérapeutique favorise la guérison en réduisant la pression exercée sur les disques intervertébraux. Cet article examine les avantages de cette technique et comment elle peut bénéficier à ceux qui souffrent de douleurs chroniques.
Qu’est-ce que la décompression neurovertébrale ?
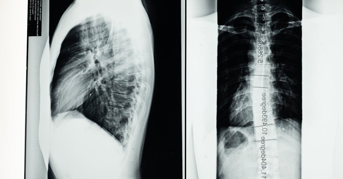
La décompression neurovertébrale repose sur une traction douce appliquée à la colonne vertébrale. Cette méthode crée un espace entre les vertèbres, ce qui réduit la pression sur les disques intervertébraux et les nerfs. Cette action améliore également la circulation sanguine au niveau des tissus affectés, ce qui aide à diminuer l’inflammation et favorise un processus de guérison naturel.
Les avantages de la décompression neurovertébrale
Cette technique présente plusieurs avantages significatifs. Tout d’abord, elle est non invasive, ce qui signifie qu’il n’y a pas de chirurgie ni de procédure invasive impliquée. Cela réduit considérablement les risques de complications, tels que des infections ou des douleurs post-opératoires. De plus, la décompression neurovertébrale permet un soulagement durable de la douleur sans dépendance aux médicaments.
Une autre caractéristique positive de cette approche est qu’elle peut être personnalisée selon les besoins de chaque patient. Les professionnels de santé peuvent ajuster le traitement en fonction de l’état de santé spécifique de l’individu, ce qui optimise l’efficacité de la méthode. En outre, les patients rapportent fréquemment une amélioration de leur mobilité après quelques séances de décompression.
Candidats idéaux pour la décompression neurovertébrale
La décompression neurovertébrale convient particulièrement aux personnes souffrant de hernies discales, de pincements nerveux ou de douleurs lombaires. Les patients qui cherchent à éviter les traitements médicaux invasifs ou ceux qui ont eu des résultats insatisfaisants avec des médicaments pourront bénéficier de cette alternative. La technique soutient également ceux qui souhaitent adopter une approche plus naturelle pour gérer leurs douleurs chroniques.
Comparaison avec d’autres traitements
Quand on compare la décompression neurovertébrale avec d’autres traitements, il est évident qu’elle offre des avantages distincts. Les médicaments anti-inflammatoires, par exemple, peuvent soulager temporairement la douleur, mais ils engendrent souvent des effets secondaires indésirables et ne règlent pas le problème sous-jacent. En revanche, la décompression neurovertébrale s’attaque à la cause de la douleur, favorisant ainsi des résultats à long terme.
La décompression neurovertébrale se place comme une solution prometteuse pour gérer les douleurs chroniques de la colonne vertébrale. Son caractère non invasif et ses effets durables en font une alternative attrayante pour de nombreux patients. Pour plus d’informations sur cette méthode, n’hésitez pas à visiter Clinique TAGMED ou Décompression Neurovertébrale.
« Avis de non-responsabilité médicale : Les informations et conseils fournis sur ce site ne remplacent pas l’avis, le diagnostic ou le traitement d’un professionnel de la santé. Veuillez noter que le Dr Sylvain Desforges ostéopathe n’est ni docteur en médecine ni médecin, et n’est pas spécialiste dans une spécialité médicale telle que définie par le Collège des médecins du Québec. La médecine manuelle, la médecine fonctionnelle et la médecine sportive telles que décrites sur ce site excluent tout traitement ou diagnostic médical fait par un médecin ou un médecin spécialiste. Consultez toujours votre médecin pour toute question médicale. Pour plus de détails, veuillez lire notre Avis Légal complet. »
Décompression neurovertébrale : Une alternative naturelle
- Non invasive : Évite les risques associés aux interventions chirurgicales.
- Réduction des douleurs : Soulagement efficace des douleurs chroniques.
- Amélioration de la circulation : Favorise un meilleur apport sanguin.
- Durée des effets : Résultats durables sans effets secondaires médicamenteux.
- Personnalisation : Plans de traitement adaptés aux besoins individuels.
- Récupération rapide : Minimal temps d’arrêt pour les patients.

La décompression neurovertébrale est une technique thérapeutique non invasive, offrant une solution alternative pour soulager les douleurs chroniques liées à la colonne vertébrale. Elle vise à réduire la pression sur les disques intervertébraux et les nerfs, permettant ainsi d’éviter les traitements médicamenteux agressifs et les interventions chirurgicales. Cette méthode est particulièrement bénéfique pour ceux souffrant de hernies discales, de sténose spinale, ou de douleurs lombaires. Découvrez ici les recommandations sur cette pratique innovante.
Qu’est-ce que la décompression neurovertébrale ?
La décompression neurovertébrale utilise une traction douce pour créer de l’espace entre les vertèbres. Cette technique permet de diminuer la pression sur les structures vertébrales, améliorant la circulation sanguine et favorisant ainsi la guérison des tissus endommagés. En comparaison avec les traitements médicamenteux, qui masquent souvent les symptômes, la décompression neurovertébrale cible les causes sous-jacentes des douleurs.
Les avantages de la décompression neurovertébrale
Non invasive et sans médicaments
Une des caractéristiques majeures de la décompression neurovertébrale est son caractère non invasif. Contrairement à la chirurgie qui comporte des risques de complications, cette méthode réduit considérablement le besoin d’interventions chirurgicales. De plus, elle permet d’éviter les effets secondaires associés à la prise de médicaments, tels que les anti-inflammatoires, qui peuvent entraîner des problèmes gastro-intestinaux ou une dépendance.
Réduction efficace de la douleur
La décompression neurovertébrale est particulièrement efficace pour soulager les douleurs chroniques. En réduisant la pression sur les nerfs et les disques, les patients ressentent souvent un soulagement rapide et durable. De nombreux témoignages d’individus ayant adopté cette méthode mentionnent une amélioration significative de leur bien-être, leur permettant de reprendre leurs activités quotidiennes sans la crainte de douleur persistante.
Amélioration de la mobilité
Un autre bénéfice clé de la décompression neurovertébrale est l’amélioration de la mobilité. En diminuant la douleur et en favorisant la guérison naturelle, les patients constatent une augmentation de leur flexibilité et de leur amplitude de mouvement. Cela leur permet de reprendre des activités physiques qu’ils avaient évitées auparavant en raison de la douleur.
Qui peut bénéficier de cette technique ?
La décompression neurovertébrale convient particulièrement aux personnes souffrant de conditions telles que les hernies discales, la sténose spinale, et d’autres douleurs chroniques liées à la colonne vertébrale. Les individus recherchant une approche douce et naturelle de la santé peuvent également y trouver un atout précieux, particulièrement ceux désireux d’éviter des traitements invasifs ou médicamenteux à long terme.
Un accompagnement personnalisé
Chaque patient étant unique, il est crucial de considérer la décompression neurovertébrale dans le cadre d’un plan de soins individualisé. Les professionnels de la santé peuvent évaluer les besoins spécifiques de chaque personne et créer un programme de traitement adapté. Cela garantit un suivi optimal et une amélioration des résultats sur le long terme.
En intégrant la décompression neurovertébrale dans une approche thérapeutique globale, il devient possible d’offrir une solution efficace pour le traitement des douleurs chroniques. En évitant les interventions chirurgicales et les médicaments, cette méthode représente une alternative naturelle qui bien plus respectueuse du corps. Les résultats positifs rapportés par de nombreux patients soulignent le potentiel de cette technique pour améliorer leur qualité de vie.
Comparaison entre Décompression Neurovertébrale et Interventions Chirurgicales
| Critères | Décompression Neurovertébrale |
|---|---|
| Invasivité | Non invasive, sans incision |
| Délai de récupération | Immédiat, retour rapide aux activités |
| Effets secondaires | Minimaux, généralement bien tolérée |
| Coût | Moins élevé sur le long terme |
| Soulagement de la douleur | Effet durable, cible la cause de la douleur |
| Personnalisation | Plans adaptés aux besoins individuels |

Témoignages sur la Décompression Neurovertébrale : Une Alternative Naturelle pour Éviter les Interventions Chirurgicales
Marie, 45 ans, partage son expérience : « J’étais sceptique au début, mais après des années de douleurs lombaires récurrentes, j’ai décidé d’essayer la décompression neurovertébrale. Je souhaitais éviter la chirurgie à tout prix. Après quelques séances, j’ai ressenti un soulagement réel, et j’ai pu reprendre mes activités sans douleur. C’est une méthode incroyable qui m’a permis d’éviter des interventions invasives. »
Jean, un ancien sportif, témoigne : « Les douleurs sciatiques m’empêchaient de profiter pleinement de ma passion pour le sport. Les médecins ne me proposaient que des options chirurgicales ou des traitements médicamenteux. J’ai alors découvert la décompression neurovertébrale. En quelques semaines, non seulement ma douleur a diminué, mais j’ai également amélioré ma performance. Je n’aurais jamais imaginé qu’une méthode non invasive pourrait avoir un tel impact. »
Lucie, mère de deux enfants, explique : « Après une blessure, j’ai été confrontée à des douleurs chroniques qui affectaient ma vie quotidienne. Au lieu de me tourner vers la chirurgie, j’ai essayé la décompression neurovertébrale. Cette approche douce non seulement a réduit mes douleurs, mais m’a également permis de retrouver ma mobilité. Je suis ravie d’avoir choisi cette méthode plutôt qu’une intervention plus risquée. »
Thomas, qui souffrait de douleurs cervicales, raconte : « J’ai essayé plusieurs traitements avant de me tourner vers la décompression neurovertébrale. Les médicaments n’apportaient qu’un soulagement temporaire, et l’idée de passer par la chirurgie m’inquiétait énormément. Grâce à cette méthode, j’ai trouvé un soulagement durable sans les complications associées à la chirurgie. »
Enfin, une patiente précise : « La décompression neurovertébrale a profondément changé ma vie. Après avoir souffert de douleurs persistantes, j’ai décidé de tenter cette approche non invasive. Je suis heureuse de dire que ça a fonctionné ! Je peux vivre sans médicaments et sans la peur d’une intervention chirurgicale. Je recommande cette méthode à tous ceux qui cherchent une alternative naturelle. »
La décompression neurovertébrale est une approche thérapeutique qui émerge comme une solution naturelle prometteuse pour ceux qui souffrent de douleurs chroniques liées à la colonne vertébrale. Alors que de nombreux patients se voient proposer des interventions chirurgicales ou des traitements médicamenteux parfois invasifs, la décompression neurovertébrale offre une option non invasive qui vise à soulager la douleur tout en favorisant une guérison naturelle.
Cette méthode consiste à appliquer une traction douce sur la colonne vertébrale afin de créer un espace entre les vertèbres. En réduisant la pression exercée sur les disques intervertébraux et les nerfs, ce traitement permet d’améliorer la circulation sanguine et d’accélérer le processus de guérison. La décompression neurovertébrale est particulièrement efficace pour traiter des conditions telles que les hernies discales, les douleurs lombaires et cervicales, ainsi que d’autres troubles musculo-squelettiques.
L’un des principaux avantages de la décompression neurovertébrale réside dans sa nature non invasive. Contrairement aux traitements médicaux classiques, qui peuvent entraîner des effets secondaires indésirables ou nécessiter une période de récupération prolongée, cette technique offre une alternative sûre et efficace. Les patients peuvent souvent ressentir un soulagement significatif de la douleur après seulement quelques séances, ce qui leur permet de reprendre leurs activités quotidiennes sans les inconvénients associés à la médication.
La décompression neurovertébrale se démarque également par sa capacité à traiter la cause sous-jacente de la douleur, et non seulement à masquer les symptômes. En ciblant spécifiquement les zones de compression dans la colonne vertébrale, cette méthode favorise une guérison durable et contribue à améliorer la qualité de vie des patients. Ce traitement ne nécessite pas l’utilisation de médicaments puissants, ce qui réduit la dépendance des patients aux analgésiques et à leurs effets secondaires potentiels.
Les témoignages de patients ayant bénéficié de la décompression neurovertébrale font état de résultats impressionnants. Beaucoup rapportent une amélioration de leur mobilité et une réduction significative de leurs douleurs chroniques. Ces expériences illustrent comment la décompression neurovertébrale peut transformer la vie des patients, leur permettant de retrouver une vie active et sans douleur.
Les experts en santé, tels que le Dr. Sylvain Desforges, président fondateur des cliniques TAGMED et de l’association ACMA, encouragent l’utilisation de la décompression neurovertébrale dans la gestion des douleurs chroniques. Spécialiste en ostéopathie et en médecine manuelle, il intègre cette méthodologie dans ses alinéas de traitement pour offrir des soins fondés sur des preuves scientifiques. Son objectif principal est d’optimiser la santé et le bien-être de ses patients, en leur proposant des solutions innovantes à leurs problèmes de santé sans recourir à des traitements invasifs.
En somme, la décompression neurovertébrale s’affirme comme une méthode thérapeutique efficace pour traiter les douleurs chroniques et éviter des interventions chirurgicales. Grâce à sa capacité à soulager la douleur tout en favorisant une guérison naturelle, cette technique représente une réelle avancée dans le domaine de la santé musculo-squelettique. Les patients peuvent ainsi envisager cette approche avec confiance, en espérant un retour à une vie sans douleur et en pleine mobilité.
Technologie de neuromodulation de Pulse Align
Mécanisme d’action
La technologie Pulse Align utilise des vibrations d’impulsion douces pour stimuler les mécanorécepteurs de type 2, présents dans les muscles et les tissus environnants. Cette stimulation favorise le retour des muscles à leur état naturel d’équilibre et de tonus. En agissant sur ces récepteurs, Pulse Align aide à rétablir la communication nerveuse, ce qui est essentiel pour la gestion et la réduction de la douleur chez les personnes souffrant de conditions liées à la colonne vertébrale.
Avantages spécifiques
Cette approche non invasive présente plusieurs avantages pour les individus souffrant de douleurs chroniques. Tout d’abord, Pulse Align contribue à réduire la douleur de manière significative en ciblant l’activité des voies nociceptives. Ensuite, cette technologie favorise également l’amélioration de la fonction musculaire et de la mobilité, permettant aux patients de retrouver une amplitude de mouvement accrue. Enfin, l’utilisation de Pulse Align peut accélérer la récupération après un effort physique ou une blessure, offrant ainsi un rétablissement plus rapide sans recourir à des substances médicinales.
Comparaison avec d’autres traitements
Comparée aux traitements traditionnellement utilisés pour traiter les douleurs chroniques, comme les médicaments anti-inflammatoires ou les injections épidurales, Pulse Align se distingue par son efficacité et ses avantages uniques. En effet, contrairement à ces méthodes qui peuvent présenter des risques d’effets secondaires indésirables, Pulse Align offre une alternative sans médicaments ni procédures invasives. Cette sécurité accrue permet aux patients de bénéficier d’un traitement efficace sans subir les inconvénients d’une anesthésie ou d’une récupération prolongée.
Études de cas ou témoignages
De nombreux témoignages de patients ayant bénéficié de Pulse Align attestent des résultats positifs. Par exemple, un patient souffrant de douleurs lombaires chroniques a rapporté une réduction significative de ses symptômes après quelques séances. Un autre patient a noté une amélioration de sa mobilité et de sa qualité de vie, lui permettant de reprendre des activités physiques qu’il avait abandonnées. Ces cas illustrent l’efficacité de Pulse Align dans le traitement de douleurs persistantes, démontrant ainsi son potentiel en tant qu’alternative sérieuse aux traitements traditionnels.
La décompression neurovertébrale émerge comme une méthode essentielle et efficace pour le traitement des douleurs chroniques liées à la colonne vertébrale. En tant qu’alternative naturelle, elle permet d’éviter les interventions chirurgicales souvent invasives et porteuses de risques. En ciblant la source de la douleur, cette technique offre un soulagement durable tout en préservant l’intégrité corporelle des patients.
En utilisant une approche non invasive, la décompression neurovertébrale agit en réduisant la pression exercée sur les disques intervertébraux. Ce processus aide à améliorer la circulation sanguine et réduit l’inflammation, permettant aux patients de retrouver leur mobilité sans les complications souvent associées aux traitements médicamenteux et chirurgicaux. Cette méthode a prouvé son efficacité pour des affections telles que les hernies discales et la sténose spinale.
Un des principaux atouts de la décompression neurovertébrale est son absence d’effets secondaires graves. Contrairement aux médicaments anti-inflammatoires ou aux analgésiques, souvent accompagnés d’effets indésirables, cette technique offre un traitement sûr et respectueux du corps. Elle favorise également un meilleur apport en oxygène et en nutriments aux tissus, contribuant ainsi à une régénération accélérée et à un bien-être général amélioré.
De plus, la personnalisation des traitements est un autre avantage majeur de la décompression neurovertébrale. Chaque patient ayant des besoins spécifiques, cette approche permet d’élaborer des plans de soins adaptés, maximisant ainsi l’efficacité du traitement. La possibilité d’intégrer cette technique avec d’autres approches thérapeutiques, comme la physiothérapie ou l’ostéopathie, renforce encore son efficacité et favorise une prise en charge globale et complète des douleurs chroniques.
Ainsi, pour ceux qui cherchent une approche de traitement qui évite les interventions chirurgicales et minimise les risques associés aux médicaments, la décompression neurovertébrale se positionne comme une option prometteuse, offrant une qualité de vie améliorée dans le respect de la santé et du bien-être naturel des patients.




