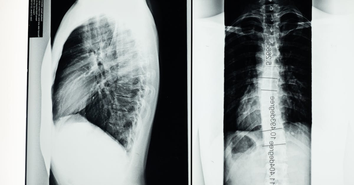
Décompression neurovertébrale : une approche naturelle pour prévenir les récidives de douleurs chroniques

découvrez la décompression neurovertébrale, une technique innovante conçue pour soulager les douleurs vertébrales et améliorer votre qualité de vie. apprenez comment cette méthode peut aider à réduire la pression sur les nerfs, favoriser la guérison et optimiser la santé de votre colonne vertébrale.
Les précautions à prendre lors d’un programme de décompression neurovertébrale pour la sténose foraminale
23 mars 2025
découvrez notre guide complet sur la planification de la décompression neurovertébrale, une approche innovante pour soulager les douleurs et améliorer la qualité de vie. apprenez les techniques clés, les avantages et les conseils d'experts pour une prise en charge efficace de votre santé vertébrale.
Les étapes pour planifier un traitement par décompression neurovertébrale pour un bombement discal complexe
23 mars 2025