Comment la décompression neurovertébrale favorise la flexibilité à long terme de la colonne vertébrale
13 mai 2025Les innovations cliniques dans les traitements de la sténose spinale avec décompression neurovertébrale
13 mai 2025EN BREF En bref, procéder à un diagnostic précis avant d’entamer un traitement par décompression neurovertébrale est essentiel pour garantir l’efficacité des interventions et le bien-être des patients. Ce processus comprend des étapes clés comme l’anamnèse, l’examen physique et des examens complémentaires, permettant d’identifier les causes sous-jacentes des douleurs. À Montréal, ce service est particulièrement recommandé pour les personnes souffrant de difficultés chroniques liées au dos, car il permet de soulager efficacement les symptômes tout en étant non invasif et rapide à mettre en place. Pénétrer dans ce parcours diagnostique aide à optimiser les résultats et à offrir une prise en charge sur mesure. |
Pour un diagnostic précis avant de commencer un traitement par décompression neurovertébrale, plusieurs étapes incontournables doivent être suivies :
- Anamnèse : Le professionnel interroge le patient sur ses habitudes de vie, ses antécédents médicaux, et l’évolution des symptômes pour établir un premier contexte.
- Examen physique : Une série de tests physiques, comprenant inspection, palpation, percussion et auscultation, est réalisée pour évaluer l’état général du patient et détecter d’éventuelles anomalies.
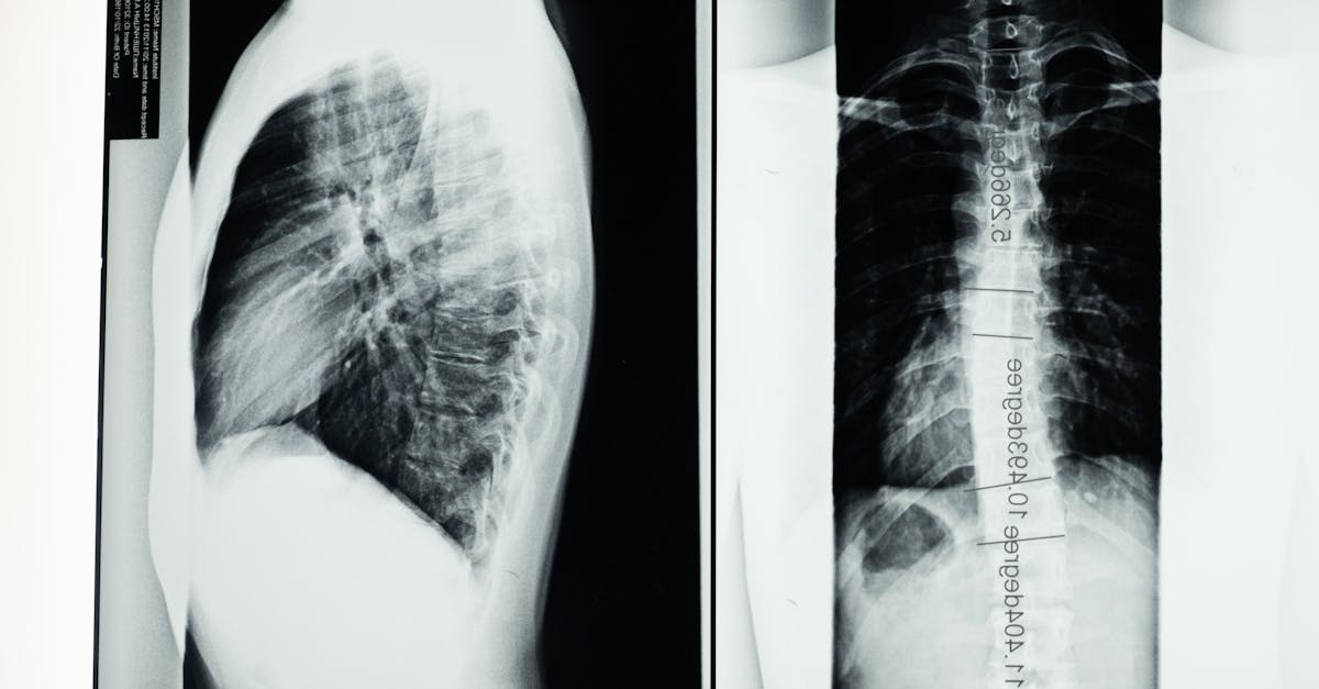
- Examens complémentaires : En fonction des besoins, des analyses, radiographies, IRM ou autres tests peuvent être prescrits pour approfondir l’exploration.
- Diagnostic médical : Après avoir analysé toutes les données accumulées, le professionnel détermine le diagnostic, conscient que la médecine n’est pas une science exacte.
- Prescription et suivi : Une fois le diagnostic posé, un traitement est proposé, avec un suivi régulier pour adapter les soins en fonction de l’évolution de la condition du patient.

Un diagnostic précis est fondamental avant d’entamer un traitement par décompression neurovertébrale. Cela permet de cibler les problématiques à l’origine des douleurs et d’optimiser la prise en charge du patient. Cet article présente les étapes clés qui permettent d’obtenir un diagnostic fiable et éclairé, garantissant ainsi une approche efficace de la décompression neurovertébrale.
L’anamnèse : premier contact essentiel
La première étape de tout diagnostic est l’anamnèse. Lors de cette phase, le praticien interroge le patient sur ses symptômes, ses habitudes de vie, ainsi que son historique médical. Il est crucial de bien comprendre l’évolution des douleurs ressenties, leur localisation, et les activités qui peuvent les aggraver. Une communication ouverte et honnête entre le patient et le professionnel de santé est primordiale pour poser les bases d’un diagnostic fiable.
Examen physique : évaluation concrète
Après l’anamnèse, l’examen physique s’impose. Il comprend plusieurs étapes, telles que l’inspection visuelle, la palpation des zones douloureuses et l’évaluation des réflexes. Ces observations permettent d’identifier des signes cliniques ou des anomalies qui peuvent orienter le diagnostic. Le praticien doit prêter attention à la posture du patient, ainsi qu’à la mobilité des différentes articulations, afin de mieux évaluer l’état général et localisé du dos.
Examens complémentaires : analyse approfondie
Dans certains cas, des examens complémentaires sont nécessaires pour affiner le diagnostic. Cela peut inclure des radiographies, des IRM ou des scanners pour visualiser les structures internes de la colonne vertébrale. Ces examens aident à identifier des conditions spécifiques comme des hernies discales ou des sténoses, qui peuvent nécessiter un traitement par décompression neurovertébrale. Il est important de sélectionner les examens appropriés en fonction des résultats de l’anamnèse et de l’examen physique.
Diagnostic différentiel : écarter d’autres causes
Il est crucial d’effectuer un diagnostic différentiel pour ne pas confondre les symptômes de la dégénérescence discale avec d’autres pathologies. Cela permet d’éviter des traitements inappropriés. Le professionnel de santé doit considérer toutes les possibilités, en tenant compte des éléments collectés lors de l’anamnèse et de l’examen physique.
Collaboration et suivi : un travail d’équipe
Le diagnostic ne se limite pas à une rencontre unique. La collaboration avec d’autres professionnels de santé, comme les physiothérapeutes ou les médecins spécialistes, peut être nécessaire pour un suivi approprié. Une fois le diagnostic établi, l’engagement du patient dans son processus de soins est essentiel. Le praticien doit expliquer clairement le plan de traitement en décompression neurovertébrale proposé, ainsi que les objectifs visés et les attentes.
En conclusion, les étapes pour un diagnostic précis avant un traitement par décompression neurovertébrale impliquent un ensemble d’analyses approfondies, allant de l’anamnèse à l’examen physique, jusqu’aux examens complémentaires. Chaque étape est cruciale pour assurer le succès du traitement.
Avis de non-responsabilité médicale : Les informations et conseils fournis sur ce site ne remplacent pas l’avis, le diagnostic ou le traitement d’un professionnel de la santé. Veuillez noter que l’auteur de cet article n’est ni médecin ni spécialiste dans une spécialité médicale telle que définie par le Collège des médecins du Québec. La médecine manuelle, la médecine fonctionnelle et la médecine sportive décrites sur ce site excluent tout traitement ou diagnostic médical effectué par un médecin ou un spécialiste médical. Consultez toujours votre médecin pour toute question médicale. Pour plus de détails, veuillez lire notre Avis Légal.
Étapes pour un diagnostic précis avant un traitement par décompression neurovertébrale
- Anamnèse: Interrogatoire du patient sur ses antécédents médicaux et symptômes.
- Examen physique: Évaluation de l’état général, y compris palpation et inspection.
- Analyse des symptômes: Identification des douleurs spécifiques liées à la colonne vertébrale.
- Examens complémentaires: Utilisation d’imageries comme IRM ou radiographies si nécessaire.
- Évaluation des résultats: Interprétation des données obtenues pour un diagnostic éclairé.
- Discussion avec le patient: Explication des résultats et des options de traitement.
- Planification du traitement: Élaboration d’un programme adapté basé sur le diagnostic.

Pour garantir l’efficacité d’un traitement par déchocage neurovertébral, il est essentiel de suivre des étapes précises dans le diagnostic de l’état du patient. Ces étapes permettent d’identifier correctement les douleurs et les dysfonctionnements du système neurovertébral avant d’appliquer une méthode de décompression appropriée. Un diagnostic rigoureux réduit le risque d’erreurs et optimise les chances de succès du traitement.
L’anamnèse : la première étape cruciale
L’anamnèse consiste à recueillir des informations détaillées sur l’historique médical du patient. Lors de cette étape, il est primordial de poser des questions ciblées pour mieux comprendre les antécédents de santé, le mode de vie, et les symptômes actuels. Voici quelques points clés à examiner :
- Habitudes de vie : alimentation, niveau d’activité physique, consommation d’alcool ou de tabac, etc.
- Antécédents médicaux : maladies existantes, allergies, interventions chirurgicales passées.
- Historique des douleurs : lorsqu’elles se sont manifestées, leur intensité, leurs variations dans le temps.
L’examen physique : une observation attentive
Après l’anamnèse, l’examen physique vient confirmer ou infirmer les hypothèses formulées. Cette étape repose sur quatre techniques de base :
- Inspection : observer l’état général du patient, détecter des anomalies visibles.
- Palpation : toucher certaines zones pour évaluer la présence de douleurs, de tensions, ou une éventuelle inflammation.
- Percussion : effectuer des tapotements pour identifier des sons anormaux émis par les organes.
- Auscultation : écouter le cœur, les poumons et l’abdomen pour obtenir des indices sur le fonctionnement interne.
Les examens complémentaires : approfondir le diagnostic
Si l’examen physique ne suffit pas à poser un diagnostic clair, des examens complémentaires peuvent s’avérer nécessaires. Ils vont permettre de vérifier l’état des structures intervertébrales et d’évaluer d’éventuelles pathologies sous-jacentes. Les examens possibles incluent :
- Imageries médicales : IRM, radiographies ou scanners pour visualiser les anomalies.
- Analyses sanguines : vérifier l’éventuelle présence d’infections ou d’inflammations.
Évaluation des résultats : essentiel pour un diagnostic précis
Une fois les résultats des examens obtenus, il est crucial de les interpréter correctement en tenant compte de toutes les variables. Cette évaluation doit être faite avec soin pour éviter des erreurs de diagnostic qui pourraient compromettre le traitement. Un diagnostic erroné peut engendrer des traitements inappropriés, aggravant ainsi l’état du patient.
Suivi et ajustements : une démarche continue
Après avoir posé le diagnostic et entrepris le traitement par décompression neurovertébrale, il est important d’assurer un suivi régulier. Cela permet de :
- Évaluer l’efficacité du traitement : ajuster les techniques utilisées en fonction de la réponse du patient.
- Prévenir d’éventuelles complications : être à l’écoute des nouveaux symptômes qui pourraient émerger.
- Impliquer le patient : l’informer et l’impliquer activement dans son processus de soin.
Le diagnostic précis est la clé pour un traitement efficace par décompression neurovertébrale. En suivant ces étapes, les professionnels de santé augmentent significativement leurs chances de succès, tout en protégeant leurs patients des éventuelles complications.
Étapes pour un diagnostic précis
| Étapes | Description |
|---|---|
| Anamnèse | Interrogatoire du patient sur ses symptômes, antécédents et habitudes de vie. |
| Examen physique | Observation, palpation, percussion et auscultation pour détecter des anomalies. |
| Examens complémentaires | Réalisation de tests diagnostiques (IRM, radiographies) pour affiner le diagnostic. |
| Analyse des résultats | Interprétation des données recueillies pour formuler une hypothèse diagnostique. |
| Diagnostic final | Élaboration du diagnostic précis et identification de la cause des douleurs. |
| Plan de traitement | Proposition d’une approche personnalisée axée sur la décompression neurovertébrale. |

Témoignages sur les étapes pour un diagnostic précis avant d’entamer un traitement par décompression neurovertébrale
Lors de ma première consultation, j’étais un peu anxieux à l’idée d’aborder mes douleurs chroniques. Cependant, l’approche systématique de mon ostéopathe m’a tout de suite mis à l’aise. Il a commencé par un interrogatoire détaillé sur mes habitudes de vie et mes antécédents médicaux. Cette première étape a été essentielle pour comprendre les facteurs qui auraient pu contribuer à mes douleurs.
Ensuite, j’ai passé un examen physique approfondi. J’ai particulièrement apprécié que le praticien m’explique chaque étape : l’inspection, la palpation, la percussion et l’auscultation. Cela a renforcé ma confiance, car je voyais qu’il prenait le temps d’évaluer ma condition avec soin et précision.
Après ces étapes, il a été question d’éventuels examens complémentaires. Même si cela pouvait sembler intimidant, j’ai compris que ces analyses étaient vitales pour obtenir un diagnostic précis. Cela m’a rassuré de savoir que chaque examen serait ciblé pour répondre à des hypothèses posées durant la consultation.
Lorsque le diagnostic final a été établi, j’ai reçu des prescriptions claires pour le traitement de décompression neurovertébrale. Mon ostéopathe a pris le temps de m’expliquer le mode d’action du traitement et les résultats attendus. Cette transparence et cette pédagogie étaient très importantes pour moi, car elles m’ont permis de mieux saisir l’intérêt de la thérapie.
En fin de compte, le suivi médical régulier après le diagnostic a été tout aussi essentiel. Cela m’a permis de suivre l’évolution de mes douleurs et d’ajuster le traitement si nécessaire. Grâce à cette approche rigoureuse et méthodique, j’ai enfin pu trouver un soulagement à mes maux de dos.
Dans le domaine de la décompression neurovertébrale, il est crucial de suivre un ensemble d’étapes méthodiques pour parvenir à un diagnostic précis. Le processus débute généralement par un interrogatoire approfondi du patient, communément connu sous le terme d’anamnèse. Lors de cette première rencontre, le praticien collecte des informations essentielles sur les habitudes de vie du patient, telles que la profession, le mode de vie, la consommation de tabac et d’alcool, ainsi que ses antécédents médicaux. Cela permet de mieux comprendre le contexte dans lequel les douleurs sont apparues. Il est également essentiel d’inclure des informations sur l’hérédité familiale et les traitements en cours.
Après avoir complété l’anamnèse, l’étape suivante consiste en un examen physique rigoureux. Cette phase se décompose généralement en quatre sous étapes : l’inspection, la palpation, la percussion et l’auscultation. Ces procédures permettent au professionnel de santé d’évaluer l’état général du patient et d’identifier des signes physiques pouvant indiquer une pathologie spécifique. Par exemple, l’inspection initiale aide à observer des déformations ou des limitations de mobilité qui pourraient influencer la nécessité d’une décompression neurovertébrale.
Dans certains cas, pour corroborer les hypothèses formulées durant l’examen physique, le médecin pourra ordonner des examens complémentaires. Ces examens peuvent inclure des imageries telles que des IRM ou des radiographies, ou encore des analyses sanguines. Ils sont essentiels pour valider le diagnostic et obtenir une image claire de l’état de la colonne vertébrale et des nerfs environnants. Chaque type d’examen vise à répondre à une question clinique précise. Il peut également révéler des maladies sous-jacentes qui nécessiteraient une attention particulière avant de procéder à tout traitement de décompression neurovertébrale.
Il est important de notifier que la médecine, y compris le diagnostic médical, n’est pas infaillible. Parfois, le diagnostic peut se révéler incertain, même après des examens approfondis. Dans de tels cas, il existe un phénomène connu sous le nom d’errance diagnostique, où le patient continuera de présenter des symptômes sans sous-jacent clair. Cela entraîne non seulement une souffrance prolongée mais peut également retarder le commencement de traitements aussi critiques que la décompression neurovertébrale.
Une fois un diagnostic fiable établi et en accord avec le mode d’action de la décompression neurovertébrale, le professionnel de santé se doit de transmettre des recommandations claires et précises au patient. Cela inclut non seulement la prescription de traitements, mais aussi des conseils sur les habitudes de vie à adopter. Un meilleur engagement du patient avec leur santé est également crucial, c’est pourquoi le suivi et l’accompagnement au cours du traitement par décompression neurovertébrale sont souvent recommandés. Cette phase est primordiale pour assurer que le patient se sente soutenu dans son cheminement vers un meilleur état de santé et un bien-être accru.
En somme, la combinaison de l’anamnèse, de l’examen physique et des examens complémentaires constitue la pierre angulaire pour établir un diagnostic précis avant de commencer un traitement par décompression neurovertébrale. Ce processus permet non seulement d’optimiser l’efficacité des traitements à venir, mais également de garantir que chaque patient reçoit des soins adaptés à ses besoins spécifiques.
Technologie de neuromodulation de Pulse Align
Mécanisme d’action
Pulse Align utilise des vibrations d’impulsion douces qui ciblent les mécanorécepteurs de type 2 présents dans les muscles et les articulations. Ces vibrations sont conçues pour stimuler ces récepteurs, favorisant ainsi le retour des muscles à leur état naturel d’équilibre et de tonus. En améliorant la communication entre les différentes parties du système musculaire et nerveux, Pulse Align aide à restaurer la fonction musculaire et à réduire les tensions qui peuvent contribuer à la douleur. Cette approche permet de mieux préparer le corps à accueillir un traitement de déchcompression neurovertébrale, en optimisant l’état physique du patient avant l’intervention.
Avantages spécifiques
L’approche non invasive de Pulse Align présente de nombreux avantages pour les personnes souffrant de douleurs chroniques. En effet, cette technologie peut :
- Réduire la douleur : Les vibrations douces permettent de soulager les tensions musculaires et d’atténuer la douleur, ce qui crée un environnement propice à la guérison.
- Améliorer la fonction musculaire : En rétablissant l’équilibre musculaire, Pulse Align aide à renforcer les muscles affaiblis, ce qui contribue à une meilleure posture et à une diminution des risques de blessures.
- Accélérer la récupération : En agissant sur la circulation sanguine et en facilitant l’élimination des déchets métaboliques, cette méthode favorise une récupération plus rapide après des épisodes douloureux, permettant ainsi aux patients de bénéficier pour leur traitement par décompression neurovertébrale.
- Améliorer la mobilité : La réduction de la douleur et l’amélioration de la fonction musculaire entraînent une meilleure mobilité, ce qui est essentiel pour la qualité de vie des individus souffrant de douleurs chroniques.
Comparaison avec d’autres traitements
Lorsqu’on compare Pulse Align avec d’autres thérapies couramment utilisées pour traiter la douleur, plusieurs différences clés émergent. Par exemple, les options traditionnelles comme les médicaments anti-inflammatoires ou les procédures chirurgicales peuvent comporter des effets secondaires indésirables et des risques associés. En revanche, Pulse Align offre une solution sans médicaments et sans procédures invasives, ce qui réduit significativement les risques et les complications potentielles. Cette méthode se concentre sur la prévention et la guérison de la douleur à la source, plutôt que de simplement masquer les symptômes.
De plus, grâce à son approche centrée sur le bien-être, Pulse Align permet aux patients d’adopter une méthode plus holistique dans leur cheminement vers la santé, en partenariat avec des traitements comme la déchcompression neurovertébrale.
Études de cas ou témoignages
Plusieurs patients ayant bénéficié de la technologie de Pulse Align ont rapporté des améliorations significatives dans leur condition. Par exemple, un patient souffrant de douleurs lombaires chroniques a témoigné d’une réduction de ses douleurs après plusieurs séances de traitement, ce qui a permis de le préparer plus efficacement pour un traitement par décompression neurovertébrale. Ces résultats sont corroborés par des études de cas démontrant que les patients qui intègrent Pulse Align dans leur processus de soins présentent souvent une baisse plus rapide de la douleur et une amélioration générale de leur fonction physique, ce qui souligne l’importance de cette technologie avant d’entreprendre d’autres traitements.
Pour en savoir plus sur les résultats et l’impact de Pulse Align sur la douleur chronique, vous pouvez consulter des témoignages et des études détaillées sur Pulse Align Clinics.
Un diagnostic précis est essentiel avant d’envisager un traitement par décompression neurovertébrale. Les médecins suivent une procédure rigoureuse qui comprend l’anamnèse, l’examen physique et éventuellement des examens complémentaires. Chacune de ces étapes permet de recueillir des informations vitales pour identifier les causes des douleurs et prescriptions des traitements adaptés.
La première étape, l’anamnèse, est cruciale. C’est au cours de cette phase que le patient partage ses antécédents médicaux, ses habitudes de vie et l’évolution des symptômes. Interroger le patient en profondeur aide le professionnel de santé à établir un tableau clair de son état de santé. Cette étape est d’autant plus importante pour éviter des erreurs diagnostiques qui peuvent survenir sans une information complète.
Ensuite, l’examen physique vient compléter les informations recueillies. Le médecin procède à une évaluation clinique en observant, palpant et auscultant le patient. Cela permet d’évaluer l’état général et d’identifier d’éventuelles anomalies. La palpation, par exemple, peut révéler des tensions musculaires ou des problèmes de mobilité qui sont cruciaux pour poser un diagnostic justifié.
Enfin, si nécessaire, des examens complémentaires peuvent être demandés. Ceux-ci, tel qu’une IRM ou un scanner, fournissent des détails supplémentaires sur la condition des structures vertébrales et du système nerveux. Ces examens sont une étape essentielle pour confirmer une hypothèse diagnostique et pour orienter le traitement par décompression neurovertébrale.
Un diagnostic médical, bien que rigoureux, n’est pas toujours sans faille. Il est donc parfois recommandé de recourir à un deuxième avis médical, surtout en cas d’errance diagnostique. Le patient doit se sentir soutenu et impliqué dans cette démarche. Un suivi médical régulier est également important pour adapter les traitements en fonction des évolutions de son état de santé.
En somme, il est impératif de suivre ces étapes de manière systématique pour garantir un diagnostic précis. Cela permettra non seulement d’éviter les erreurs mais également d’optimiser l’efficacité du traitement par décompression neurovertébrale, offrant ainsi au patient la meilleure chance de soulagement de ses douleurs.




